Beyin Malign Neoplazmı Nedir?
Beyin malign neoplazmı, beyindeki kötü huylu tümörler olarak bilinen bir durumdur. Malign neoplazmalar, hızla büyüyen ve çevredeki sağlıklı dokulara yayılan kanserli hücrelerden oluşur. Beyin malign tümörleri birincil ya da ikincil olarak sınıflandırılabilir. Birincil beyin tümörleri doğrudan beyinde gelişirken, ikincil (metastatik) beyin tümörleri vücudun diğer bölgelerinden beyine yayılır. Malign beyin tümörleri kontrolsüz bir şekilde büyüdükçe, beyindeki sağlıklı dokulara zarar verebilir ve hastanın yaşam kalitesini ciddi şekilde etkileyebilir.
Beyin Malign Neoplazmının Nedenleri
Beyin malign neoplazmının tam nedeni henüz tam olarak bilinmemekle birlikte, bazı genetik faktörler, çevresel etkenler ve yaşam tarzı faktörlerinin bu tümörlerin gelişimine katkıda bulunduğu düşünülmektedir. Radyasyona maruz kalma, bazı kimyasal maddeler, genetik mutasyonlar ve aile öyküsü gibi risk faktörleri beyin tümörü riskini artırabilir. Ancak çoğu durumda tümörün kesin nedeni tespit edilemez.
Beyin Malign Neoplazmının Belirtileri
Beyin malign neoplazmının belirtileri, tümörün boyutuna, türüne ve beyindeki konumuna bağlı olarak değişir. Yaygın belirtiler şunları içerir:
- Baş ağrıları (genellikle sabahları veya öne eğilince artan)
- Bulantı ve kusma
- Görme veya işitme kaybı
- Hafıza sorunları
- Davranış ve kişilik değişiklikleri
- Kas zayıflığı veya vücudun bir kısmında güç kaybı
- Konuşma zorlukları
- Nöbetler
Bu belirtiler, başka sağlık sorunlarıyla da ilişkili olabileceğinden, kesin bir tanı için nöroloji uzmanı tarafından değerlendirme yapılması gerekir.
Beyin Malign Neoplazmı Tanısı
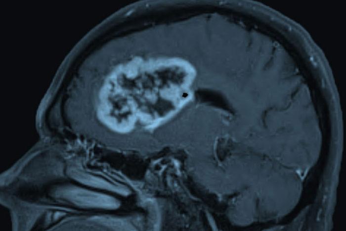
Beyin malign neoplazmının tanısında çeşitli görüntüleme yöntemleri kullanılır. Manyetik rezonans görüntüleme (MR) ve bilgisayarlı tomografi (BT), tümörlerin boyutunu, yerini ve türünü belirlemek için kullanılan başlıca tanı yöntemleridir. Bu görüntüleme yöntemleri, tümörün beyindeki etkilerini ve çevre dokulara yayılma durumunu değerlendirir. Gerekli durumlarda, kesin tanı için biyopsi yapılabilir.
Beyin Malign Neoplazmı Tedavi Edilebilir mi?
Beyin malign neoplazmlarının tedavisi, tümörün türüne, büyüklüğüne, yayılma derecesine ve hastanın genel sağlık durumuna bağlı olarak değişiklik gösterir. Tedavi seçenekleri arasında cerrahi, radyoterapi, kemoterapi ve hedefe yönelik tedavi yöntemleri bulunur. Tedavi sürecinde tümörün büyümesini kontrol altına almak, hastanın semptomlarını hafifletmek ve yaşam kalitesini artırmak amaçlanır. Tedavi süreci genellikle multidisipliner bir yaklaşımla yürütülür ve nörologlar, onkologlar, cerrahlar ve fizyoterapistler birlikte çalışır.
Cerrahi Müdahale
Beyin malign neoplazmında cerrahi müdahale, tümörün tamamen çıkarılması veya küçültülmesi amacıyla yapılır. Cerrahi, tümörün konumuna ve büyüklüğüne göre farklılık gösterebilir. Bazı durumlarda, tümör tamamen çıkarılamayabilir; ancak cerrahi müdahale sayesinde tümörün boyutu küçültülerek semptomlar hafifletilebilir.
Radyoterapi ve Kemoterapi
Radyoterapi, kanser hücrelerini yok etmek veya büyümelerini durdurmak için yüksek enerjili ışınların kullanıldığı bir tedavi yöntemidir. Kemoterapi ise, kanser hücrelerini öldüren veya çoğalmalarını durduran ilaçlarla yapılan bir tedavidir. Beyin malign neoplazmlarında, cerrahi sonrasında veya cerrahi müdahale yapılamayan durumlarda radyoterapi ve kemoterapi kullanılarak tedavi uygulanabilir.
Hedefe Yönelik Tedavi
Beyin malign neoplazmı tedavisinde son yıllarda geliştirilen hedefe yönelik tedavi yöntemleri, kanser hücrelerini daha etkili bir şekilde yok etmeyi hedefler. Bu tedavi yöntemi, sağlıklı hücrelere zarar vermeden kanserli hücreleri hedef alır ve yan etkileri azaltır. Hedefe yönelik tedavi, tümörün biyolojik özelliklerine göre hastaya özel olarak planlanır.
Fizik Tedavi ve Rehabilitasyonun Beyin Tümörü Sonrası Önemi
Beyin malign neoplazmı tedavisinde fizik tedavi ve rehabilitasyon, hastaların yaşam kalitesini artırmak, bağımsızlık kazanmak ve günlük yaşam aktivitelerine dönüşlerini hızlandırmak için önemli bir rol oynar. Tümör tedavisi sonrası hastaların kas zayıflığı, denge sorunları, koordinasyon eksiklikleri ve hareket kısıtlılığı gibi sorunlarla karşılaşması yaygındır. Fizik tedavi ve rehabilitasyon bu sorunları hafifletmeye ve hastanın işlevselliğini artırmaya yardımcı olur.
Beyin Malign Neoplazmında Yatılı Fizik Tedavi Merkezinin Faydaları
Yatılı fizik tedavi merkezi, beyin malign neoplazmı tedavisi sonrası bakım sürecinde hastalara özel bir destek sağlar. Yatılı rehabilitasyon programları, hastaların tedavi sürecinde 7/24 profesyonel destek almalarını ve bireysel ihtiyaçlarına göre özelleştirilmiş tedavi planları ile ilerlemelerini sağlar. Yatılı fizik tedavi merkezlerinde sunulan hizmetlerin avantajları şunlardır:
- Sürekli Destek: Uzman fizyoterapistler ve sağlık personeli, hastalara sürekli bakım sağlar. Bu sayede hastalar, tedavi sürecinde kendilerini güvende hissederler.
- Özelleştirilmiş Tedavi Programları: Her hastanın ihtiyaçlarına göre özel olarak planlanan tedavi programları, daha hızlı ve etkili iyileşme süreci sağlar.
- Güvenli Tedavi Ortamı: Yatılı tedavi merkezleri, hastaların güvenli ve kontrollü bir ortamda tedavi görmelerini sağlar.
Yatılı Fizik Tedavi Merkezimizde Beyin Malign Neoplazmı Rehabilitasyon Süreci
Yatılı fizik tedavi merkezimizde beyin malign neoplazmı sonrası rehabilitasyon süreci, hastanın mevcut durumuna, tedavi ihtiyaçlarına ve hedeflerine göre şekillendirilir. Rehabilitasyon süreci genellikle şu adımlardan oluşur:
1. Kapsamlı Değerlendirme
Tedavi sürecinin başlangıcında, hastalarımız kapsamlı bir değerlendirmeye tabi tutulur. Bu değerlendirme, hastanın kas gücü, hareket kabiliyeti, denge, koordinasyon ve günlük yaşam aktivitelerindeki durumu dikkate alınarak yapılır. Elde edilen veriler doğrultusunda, hastaya özel bir tedavi planı oluşturulur.
2. Kişiye Özel Tedavi Planı
Her beyin malign neoplazmı hastasının ihtiyaçları farklıdır, bu nedenle tedavi programları hastaya özel olarak hazırlanır. Kas kuvvetini artırmaya yönelik egzersizler, denge çalışmaları, koordinasyon eğitimleri ve ağrı yönetimi gibi teknikler kullanılır.
3. Robotik Rehabilitasyon ve Teknoloji Destekli Tedavi
Yatılı fizik tedavi merkezimizde, robotik rehabilitasyon cihazları ve ileri teknolojiye dayalı tedavi yöntemleri kullanılır. Bu cihazlar, hastanın kaslarını doğru pozisyonlarda çalıştırarak hareket kabiliyetini geliştirmesine yardımcı olur. Robotik rehabilitasyon, kas hafızasını yeniden yapılandırmak ve hastanın hareketlerini desteklemek için özel olarak tasarlanmıştır.
4. Günlük Yaşam Becerileri Eğitimi
Hastaların bağımsızlığını artırmak amacıyla günlük yaşam becerileri eğitimi sağlanır. Bu eğitim, hastaların kişisel bakım, giyinme, yemek yeme gibi günlük yaşam aktivitelerinde daha bağımsız hale gelmelerine yardımcı olur.
5. Psikososyal Destek
Beyin malign neoplazmı sonrası rehabilitasyon süreci, fiziksel olduğu kadar psikolojik destek de gerektirir. Yatılı fizik tedavi merkezimizde, hastalarımıza psikososyal destek sunarak rehabilitasyon sürecinde motivasyonlarını artırmalarını hedefliyoruz.
Beyin Malign Neoplazmı Hastalarında Robotik Rehabilitasyonun Faydaları
Robotik rehabilitasyon, beyin malign neoplazmı hastalarında tedavi sürecini destekleyen en etkili yöntemlerden biridir. Robotik cihazlar, hastaların motor fonksiyonlarını geliştirmek, dengeyi iyileştirmek ve hareket kabiliyetini artırmak için kullanılır. Robotik tedavi sayesinde hastalar, daha kontrollü ve güvenli bir şekilde egzersiz yaparak fiziksel kapasitelerini geri kazanabilirler.
Beyin Malign Neoplazmı Tedavisinde Fizik Tedavi Merkezimizin Farkı
Yatılı fizik tedavi merkezimiz, beyin malign neoplazmı tedavisi sonrası iyileşme sürecinde hastalara kapsamlı bir destek sunar. Alanında uzman fizyoterapistler, onkoloji destek ekibi ve psikososyal danışmanlarla çalışan merkezimizde, hastalarımıza özel tedavi programları sunarak onların en hızlı şekilde eski sağlıklarına kavuşmalarını sağlıyoruz.
Randevu İçin Bize Ulaşın
Beyin malign neoplazmı tedavisi sonrası fizik tedavi ve rehabilitasyon süreci hakkında daha fazla bilgi almak veya randevu oluşturmak için bize ulaşabilirsiniz. Alanında uzman ekibimiz, tedavi sürecinizi kolaylaştırmak ve en yüksek kaliteyi sunmak için burada. Beyin malign neoplazmı sonrası yaşam kalitenizi artırmak ve bağımsızlığınızı geri kazanmak için gereken tüm desteği sağlamaktan mutluluk duyarız.

